下線をクリックすると各項目に移動します。
「歯をキレイにするだけじゃない」本当の審美歯科とは
審美歯科と聞くと「歯を見た目だけキレイにする治療」と思いがちですが、それだけではありません。
見た目はキレイでも、食べ物を咬めなかったり、不自然に白すぎる歯などは、審美歯科とはいえません。
咬み合わせや顔とのバランスまで整えて初めて審美歯科といえるのです。

金属を使わない治療
審美歯科で使われる素材「セラミック」の魅力
審美歯科では、金属の詰め物や被せ物を使いません。
セラミック(陶器)製の歯を主に使います。
セラミックは金属と違い、陶器でできているので、金属アレルギーの心配がありません。
また、裏に金属を打ちつけた歯を前歯に入れていると、数年後歯と歯ぐきの間に金属が露出してくることがありますが、セラミックの歯はその心配がありません。
「セラミック」は予防にも効果あり!?
セラミックは陶器でできており、表面がツルツルしているため、虫歯菌がつきにくいといわれています。
そのため、予防歯科のひとつの手段として注目されています。
セラミック治療 ケース紹介

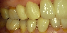
金属が入っている状態
奥歯に金属の歯が入っている状態です。
金属を長年使用していると、唾液で成分が溶けだし、金属アレルギーを引き起こすこともあります。
また、口臭の原因にもなります。


セラミックに換えた状態
セラミックの歯に換えました。
見た目もキレイですが、金属アレルギーの軽減や口臭治療にもなります。

金属が入っている状態
前歯に金属の裏打ちをした歯が入っている状態です。
長年使用していたため、歯と歯ぐきの間に金属が露出してきました。


セラミックに換えた状態
セラミックの歯に換えました。
金属の黒ずみが消えました。

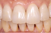
色が違い目立っている状態
前歯の中央2本が、他の歯の色と違い、目立ってしまっている状態です。


セラミックに換えた状態
セラミックの歯に換えました。
周りの歯の色と整い、自然な状態になりました。

色が違い目立っている状態
上の歯の中央2本が、他の歯の色と違い、目立ってしまっている状態です。


セラミックに換えた状態
セラミックの歯に換えました。
周りの歯の色と整い、自然な状態になりました。
歯ぐきの黒ずみをキレイにする治療
安全な薬剤で、痛くなくキレイに
歯ぐきが黒ずんでいてうまく笑えないという方で、「治療は痛そうだから」と諦めていらっしゃる方は多いのではないでしょうか。
一般的には、レーザー治療器を多用し、治療を行います。
当院では、レーザーは使わず、安全な薬剤を使って漂泊するだけですので、痛みはほとんどありません。
タバコが原因で黒ずんでしまった方も、生まれつき黒いという方も、諦めずに一度ご相談ください。















































