下線をクリックすると各項目に移動します。
注目の補綴歯科① インプラント
インプラントとは
インプラントは、事故や歯周病などで歯を失ってしまった部分にインプラント(人工歯根)を顎の骨に埋め込み、その上に人工歯を被せて歯の機能を回復させる補綴歯科です。
見た目の美しさはもちろん、他の治療と比べてしっかりと咬むことができるため、注目されている補綴歯科のひとつです。

インプラント治療手順
インプラントの手順をイラストで説明します。

- アゴの骨にインプラント(人工歯根)を埋める手術を行います。
- アゴの骨とインプラントが結合するのを待ちます。
- アゴの骨とインプラントが結合したら、インプラントと人工歯を連結する部品(アバットメント)を装着します。
- アバットメントの部分に人工歯を装着します。
当院でのインプラント
上記のように、インプラントには手術が必要です。
そのため、細心の注意を払って治療をしなければなりません。
当院では、最新の設備や技術を駆使し、安心で安全にインプラントを行っています。
注目の補綴歯科② ノンクラスプデンチャー
バネのない部分入れ歯
昔から補綴歯科のひとつとして使われている部分入れ歯ですが、従来のものより優れたものが開発され、注目されています。
従来の部分入れ歯だと、バネが目立ってしまったり、口臭や痛みを引き起こしたりと、様々な悩みを抱えている方もいらっしゃいました。
そういった悩みを解決したのが、ノンクラスプデンチャーです。
ノンクラスプデンチャーは、その名の通り、クラスプといわれる金具がありません。そのため、周りの歯に負担をかけることなく、補綴ができるようになりました。
また、歯ぐきとなる部分は、曲げても折れない柔らかい素材でできているため、咬んだ時の痛みもありません。


ノンクラスプデンチャー ケース紹介

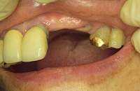
歯が抜けた状態
前歯3本が抜けている状態です。
従来の入れ歯だと、バネが目立ってしまいます。


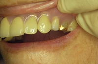
ノンクラスプデンチャーを装着した状態
ノンクラスプデンチャーを装着しました。
周りの歯と比べても目立ちません。また、バネがないため、咬んだ時の痛みもありません。

歯が抜けた状態
下の歯3本が抜けている状態です。


ノンクラスプデンチャーを装着した状態
ノンクラスプデンチャーを装着しました。
周りの歯と比べても目立ちません。また、バネがないため、咬んだ時の痛みもありません。
注目の補綴歯科③ マグネットデンチャー
マグネットを使用した外れにくい総入れ歯
従来の総入れ歯は、ズレてしまったり、外れてしまったりと、扱いにくいという悩みを抱えている方が多くいらっしゃいました。
このマグネットデンチャーは、右図のように入れ歯と残った歯の両方に磁石を埋め込んで固定するので、ズレたり外れたりが軽減されました。
友人とのおしゃべりや食事を楽しみたいという方は、ぜひお試しください。

マグネットデンチャー ケース紹介

バネ付きの入れ歯は、他の歯に負担をかけるため、痛みを伴う事があります。
また、バネがあることで、見た目も美しくありません。


マグネット式の入れ歯は、残った歯にマグネットを被せて固定するため、負担は軽減されます。
また、見た目もきれいに仕上がります。
注目の補綴歯科④ 総義歯(金属床)
よりおいしく食事ができる総入れ歯
保険が適用される総入れ歯はプラスチックでできています。
そのため、入れ歯自体に厚みがあり、味や温度を感じにくいため、食事をおいしく召し上がれないという方が多いようです。
金属でできた総入れ歯は、プラスチック製の入れ歯と比べて約3分の1の薄さに加工できるため、食べ物の味や温度を感じやすくなります。
もう一度食事を楽しみたいという方は、ぜひお試しください。
















































