下線をクリックすると各項目に移動します。
手軽に歯を白くしたい方
ホワイトニングとは
「白い歯を手に入れたい! でも歯を削るのはイヤだな……」とお考えの方におすすめの方法がホワイトニングです。
コーヒーやタバコのヤニ等で黄ばんだ歯を白くすることができます。
安全な薬剤を使用するため、痛みはほとんどありません。また、歯を削ったりするわけではないので、手軽にできます。
ホワイトニングの薬剤には「過酸化水素」を使用します。その過酸化水素が分解する際に発生する物質が歯の明度を上げ、白くします。
ホワイトニングには主に「オフィスホワイトニング」と「ホームホワイトニング」の2種類の方法があり、それぞれ特徴があります。

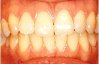
ホワイトニングの効果
ここまで白くなります。
※効果には個人差があります。



オフィスホワイトニング
通院して行うホワイトニング
医院に通院していただく方法です。
歯に高濃度のホワイトニング剤(過酸化水素)を塗り、専用の機材で照射します。
照射するため、比較的短時間で過酸化水素が分解され、効果も早く表れます。

※画像はイメージです
ホームホワイトニング
ご自宅で行うホワイトニング
ご自宅で行う方法です。
専用のマウスピースを作製し、低濃度のホワイトニング剤(過酸化水素)を使用で漂泊します。
過酸化水素をじっくり歯になじませるため比較的時間はかかりますが、後戻りがしにくく、白さを持続することができます。

※画像はイメージです












































